
Living with chronic knee pain can significantly impact your quality of life, limiting mobility and preventing you from enjoying everyday activities. When conservative treatments like physical therapy, medications, and injections fail to provide relief, genicular nerve ablation offers a promising alternative. This minimally invasive procedure targets specific nerves around the knee to interrupt pain signals, potentially providing months to years of relief.
What is Genicular Nerve Ablation?
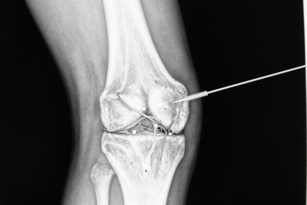
Genicular nerve ablation procedure being performed under fluoroscopy guidance
Genicular nerve ablation, also known as genicular nerve radiofrequency ablation (GNRFA), is a specialized medical procedure designed to reduce chronic knee pain. The procedure works by using radiofrequency energy to create heat that disrupts the function of specific nerves around the knee joint—called genicular nerves—that transmit pain signals to the brain.
These genicular nerves include the superior lateral, superior medial, and inferior medial genicular nerves. By targeting these specific nerve pathways, the procedure can significantly reduce pain sensation without affecting motor function or normal knee movement.
Unlike surgery, genicular nerve ablation is minimally invasive and performed as an outpatient procedure, typically taking less than 30 minutes to complete. The effects can last from several months to up to two years, making it an attractive option for those seeking longer-term pain relief.
Who is a Candidate for Genicular Nerve Ablation?
Genicular nerve ablation is typically recommended for patients who meet specific criteria:
- Patients with moderate to severe knee osteoarthritis (typically Kellgren-Lawrence grade 3 or 4)
- Those who have experienced inadequate relief from conservative treatments such as physical therapy, medications, and injections
- Patients who have had a successful diagnostic genicular nerve block (showing at least 50% pain reduction)
- Individuals who are not good candidates for knee surgery due to medical comorbidities or high BMI
- Patients who have had a failed knee replacement and continue to experience pain
- Those who wish to avoid surgery or have previously responded well to genicular nerve ablation
Not Sure If You’re a Candidate?
Speak with a pain management specialist to determine if genicular nerve ablation might be right for your knee pain condition.
The Genicular Nerve Ablation Procedure: Step by Step
Genicular nerve ablation is typically a two-phase process that begins with a diagnostic nerve block followed by the actual ablation procedure if the initial block proves effective.
Phase 1: Diagnostic Genicular Nerve Block
Before proceeding with ablation, your doctor will perform a diagnostic block to determine if you’re likely to benefit from the procedure:
- You’ll lie on your back with your knee slightly flexed (about 30 degrees).
- The skin over your knee will be cleaned and prepared.
- Using fluoroscopy (X-ray guidance) or ultrasound, your doctor will identify the locations of the genicular nerves.
- A local anesthetic will be injected at the skin entry points.
- Small needles will be guided to the target nerve locations.
- A local anesthetic (typically lidocaine) will be injected around the nerves.
- You’ll be monitored for pain relief following the procedure. If you experience at least 50% pain reduction for 24 hours or more, you’re considered a good candidate for ablation.
Phase 2: Radiofrequency Ablation Procedure
If the diagnostic block is successful, you’ll return for the actual ablation procedure:
- Similar to the diagnostic block, you’ll lie on your back with your knee slightly flexed.
- The skin will be cleaned and a local anesthetic will be administered.
- Using fluoroscopy guidance, special radiofrequency cannulas (needles) will be inserted near the targeted genicular nerves.
- Sensory testing will be performed to confirm proper needle placement.
- Motor testing will ensure no unwanted motor nerve stimulation.
- Local anesthetic will be injected through each cannula for comfort.
- Radiofrequency energy will be applied, heating the tissue to 70-80°C for 60-90 seconds.
- The cannulas may be slightly repositioned and the process repeated to ensure adequate coverage.
- A small amount of steroid medication may be injected to reduce post-procedure inflammation.
- The needles will be removed and small bandages applied.
Fluoroscopy image showing proper needle placement for genicular nerve ablation
Recovery and What to Expect After the Procedure
Recovery from genicular nerve ablation is typically straightforward with minimal downtime:
- Most patients can walk immediately after the procedure and return home the same day.
- You may experience soreness, mild pain, or bruising at the injection sites for 1-3 days.
- Applying ice packs to the knee for 20 minutes several times a day can help reduce discomfort.
- Avoid strenuous activities and exercise for a few days following the procedure.
- You can typically shower the day after the procedure, but avoid baths or swimming for 2-3 days.
- Most patients can return to normal activities within a few days.
- Full pain relief benefits may take 2-3 weeks to develop as nerve function decreases.
Important: Contact your healthcare provider if you experience severe pain, significant swelling, redness, fever, or any signs of infection following the procedure.
Effectiveness and Benefits of Genicular Nerve Ablation
Research and clinical experience have shown that genicular nerve ablation can provide significant benefits for many patients with chronic knee pain:
- Pain relief lasting 6 months to 2 years (average around 12 months)
- Improvement of >60% from baseline knee pain for at least 6 months in many patients
- Reduced reliance on pain medications
- Improved mobility and function
- Enhanced quality of life
- Ability to participate more fully in physical therapy
- Delay or avoidance of knee replacement surgery in some cases
Ready to Explore This Treatment Option?
Schedule a consultation with a pain management specialist to discuss if genicular nerve ablation could help with your chronic knee pain.
Risks and Considerations
While genicular nerve ablation is generally considered safe, it’s important to be aware of potential risks and considerations:
- Minimally invasive procedure
- Low risk of serious complications
- No general anesthesia required
- Outpatient procedure with quick recovery
- Can be repeated if pain returns
Safety Profile
- Temporary soreness at injection sites
- Possible bruising or bleeding
- Rare risk of infection
- Potential for skin burns if equipment is faulty
- Possible neuritis (nerve inflammation)
Potential Risks
Important Considerations
- The procedure does not cure the underlying knee condition (such as osteoarthritis)
- Pain relief is temporary as nerves can regenerate over time
- Not everyone experiences the same level of pain relief
- Success is highly dependent on proper patient selection and technique
- Some patients may not respond to the treatment
“It’s important to understand that genicular nerve ablation provides pain relief by interrupting pain signals, but it doesn’t address the underlying cause of knee pain. The procedure may need to be repeated when pain returns as nerves regenerate.”
How Genicular Nerve Ablation Compares to Other Treatments
| Treatment | Invasiveness | Duration of Relief | Recovery Time | Best For |
| Genicular Nerve Ablation | Minimally invasive | 6 months – 2 years | Days | Chronic knee pain, not suitable for surgery |
| Steroid Injections | Minimally invasive | Weeks – 3 months | None | Acute inflammation, mild to moderate OA |
| Hyaluronic Acid | Minimally invasive | 3-6 months | None | Mild to moderate OA |
| Knee Replacement | Highly invasive | Years – permanent | Weeks – months | Severe OA, failed conservative treatment |
| Physical Therapy | Non-invasive | Variable | None | Early OA, muscle strengthening |
Genicular nerve ablation offers a middle ground between conservative treatments and surgery. It provides longer-lasting relief than injections without the extensive recovery time of surgery. For many patients with chronic knee pain who haven’t responded to conservative measures but aren’t ready or eligible for surgery, genicular nerve ablation represents an important treatment option.
Frequently Asked Questions About Genicular Nerve Ablation
How long does genicular nerve ablation last?
Genicular nerve ablation typically provides pain relief for 6 months to 2 years, with an average of about 12 months. The duration varies between individuals. When the nerves regenerate and pain returns, the procedure can be repeated.
Is genicular nerve ablation painful?
During the procedure, local anesthetic is used to numb the area, so you should feel minimal discomfort. After the procedure, some patients experience soreness or mild pain at the injection sites for 1-3 days, which can be managed with ice packs and over-the-counter pain medications.
Will I need someone to drive me home after the procedure?
If you receive sedation for the procedure, you will need someone to drive you home afterward. If only local anesthetic is used, you may be able to drive yourself home, but it’s often recommended to have someone accompany you.
Is genicular nerve ablation covered by insurance?
Many insurance plans, including Medicare, cover genicular nerve ablation when medically necessary. Coverage varies by provider and plan. It’s recommended to check with your insurance company before scheduling the procedure.
Can genicular nerve ablation be performed if I have a knee replacement?
Yes, genicular nerve ablation can be performed in patients with knee replacements who continue to experience pain. In fact, it’s one of the treatment options for persistent pain after knee replacement when no mechanical issues with the implant are identified.
What’s the difference between genicular nerve block and ablation?
A genicular nerve block is a diagnostic procedure that uses local anesthetic to temporarily numb the genicular nerves. It provides short-term pain relief (hours to days) and helps determine if you’re a good candidate for ablation. Genicular nerve ablation uses radiofrequency energy to disrupt the nerve’s ability to transmit pain signals, providing longer-lasting relief (months to years).
Have More Questions?
Download our comprehensive patient guide to learn more about genicular nerve ablation for knee pain.
Is Genicular Nerve Ablation Right for You?
Genicular nerve ablation offers a promising option for those suffering from chronic knee pain, especially when other treatments have failed to provide adequate relief. This minimally invasive procedure can provide months to years of pain reduction, improved function, and enhanced quality of life.
If you’re struggling with persistent knee pain from osteoarthritis or other conditions, and conservative treatments haven’t helped, discussing genicular nerve ablation with a pain management specialist may be a worthwhile next step. The procedure isn’t right for everyone, but for suitable candidates, it can offer significant benefits with minimal risk and downtime.
Remember that successful outcomes depend on proper patient selection, accurate technique, and realistic expectations. A thorough evaluation by a qualified healthcare provider is essential to determine if this procedure is appropriate for your specific condition.
Take the Next Step Toward Pain Relief
Connect with a pain management specialist to discuss whether genicular nerve ablation could help manage your chronic knee pain.
